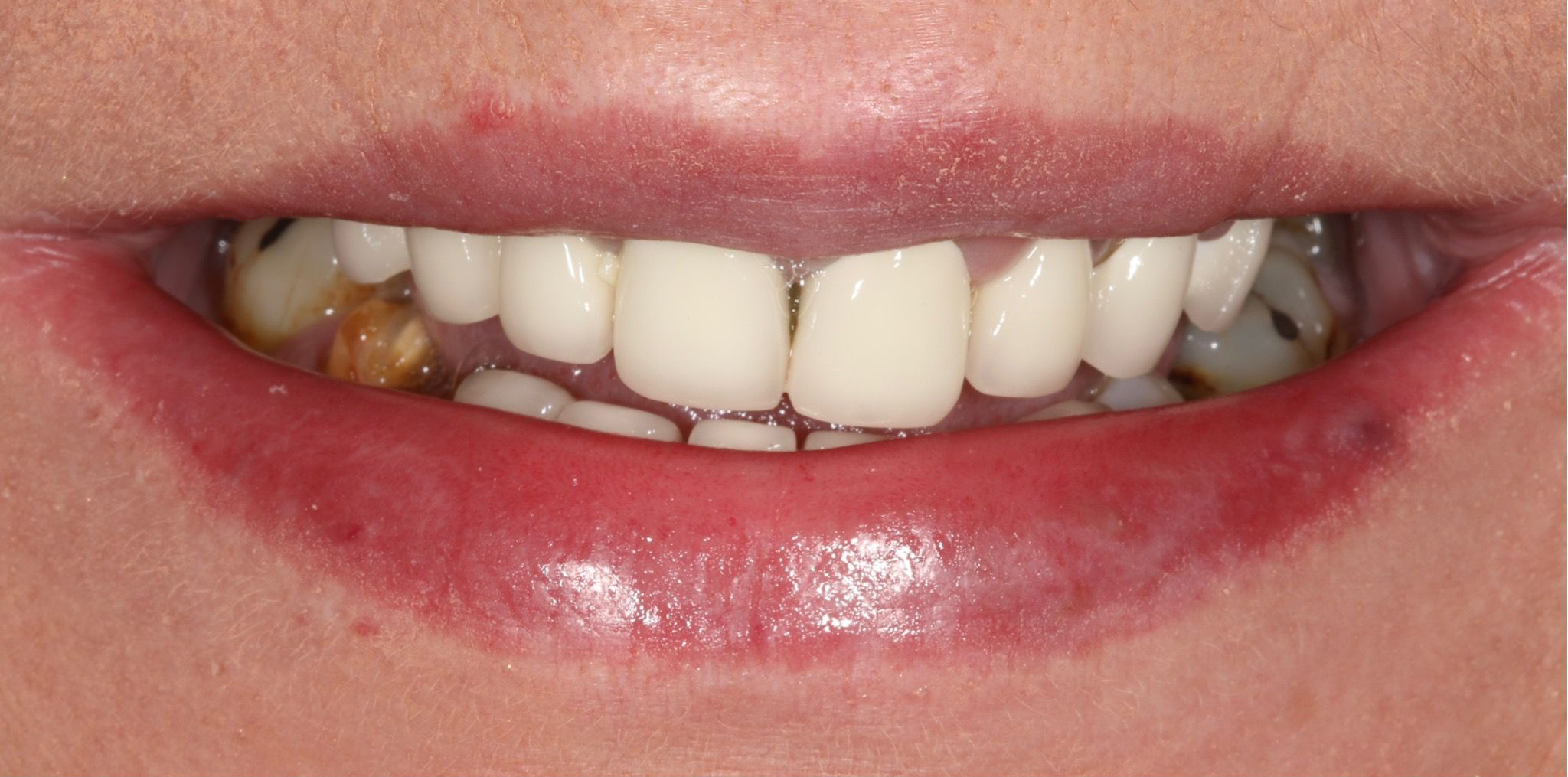
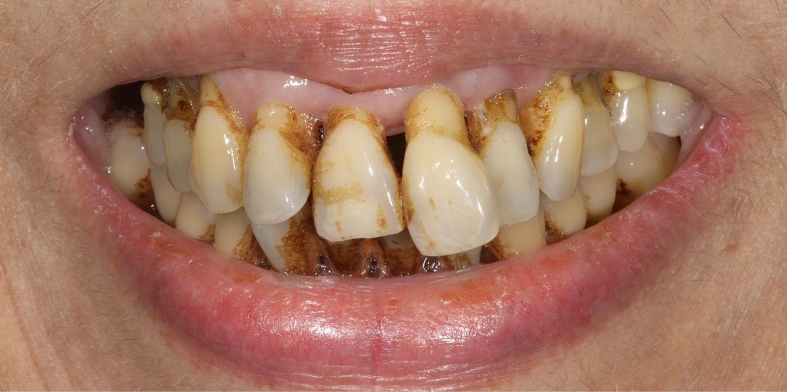
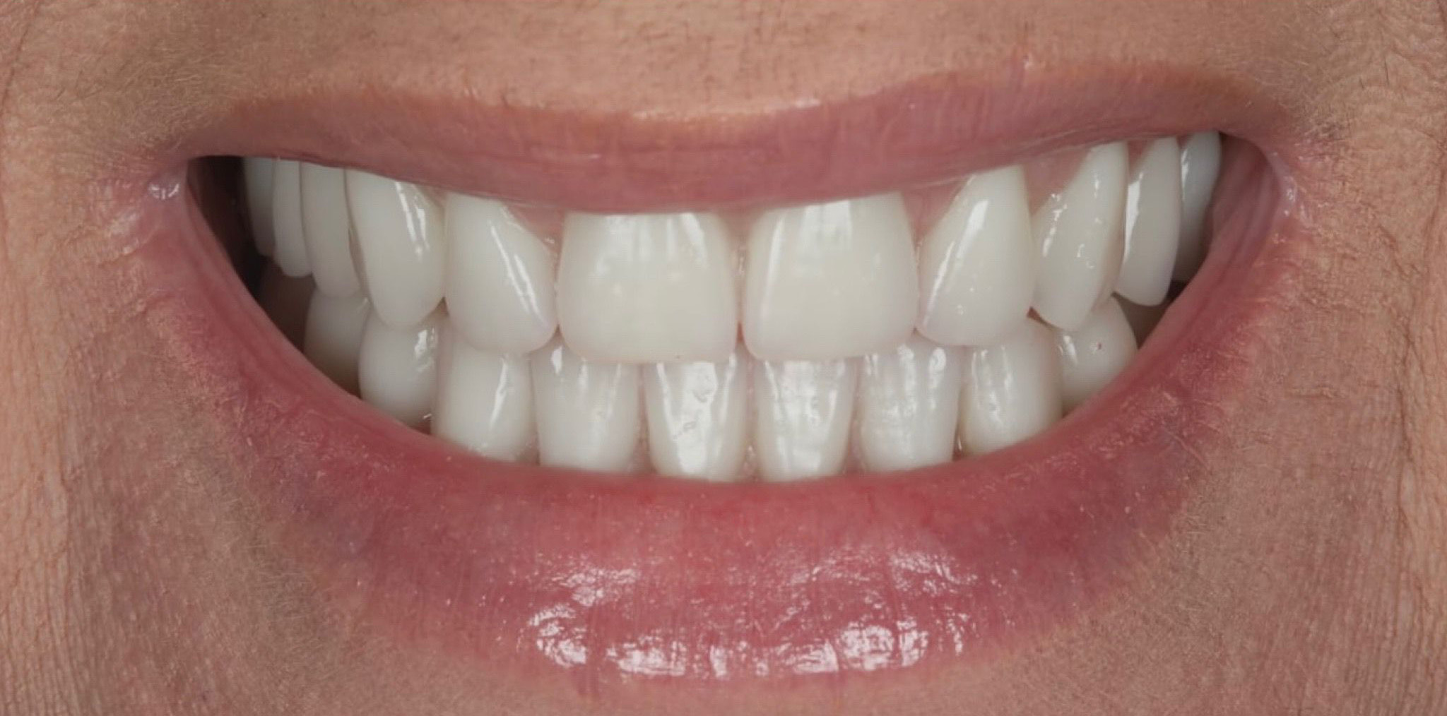
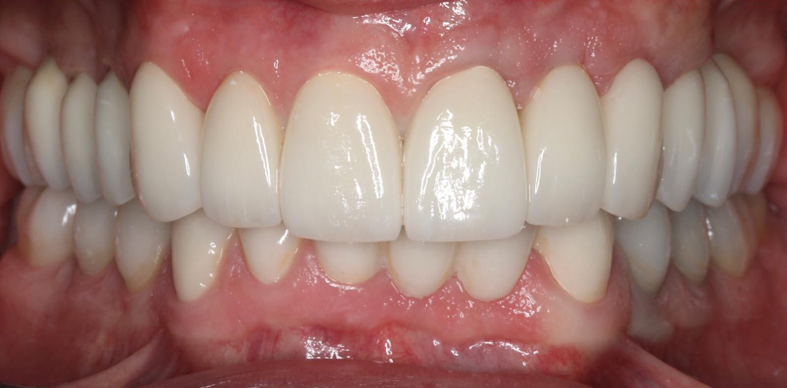
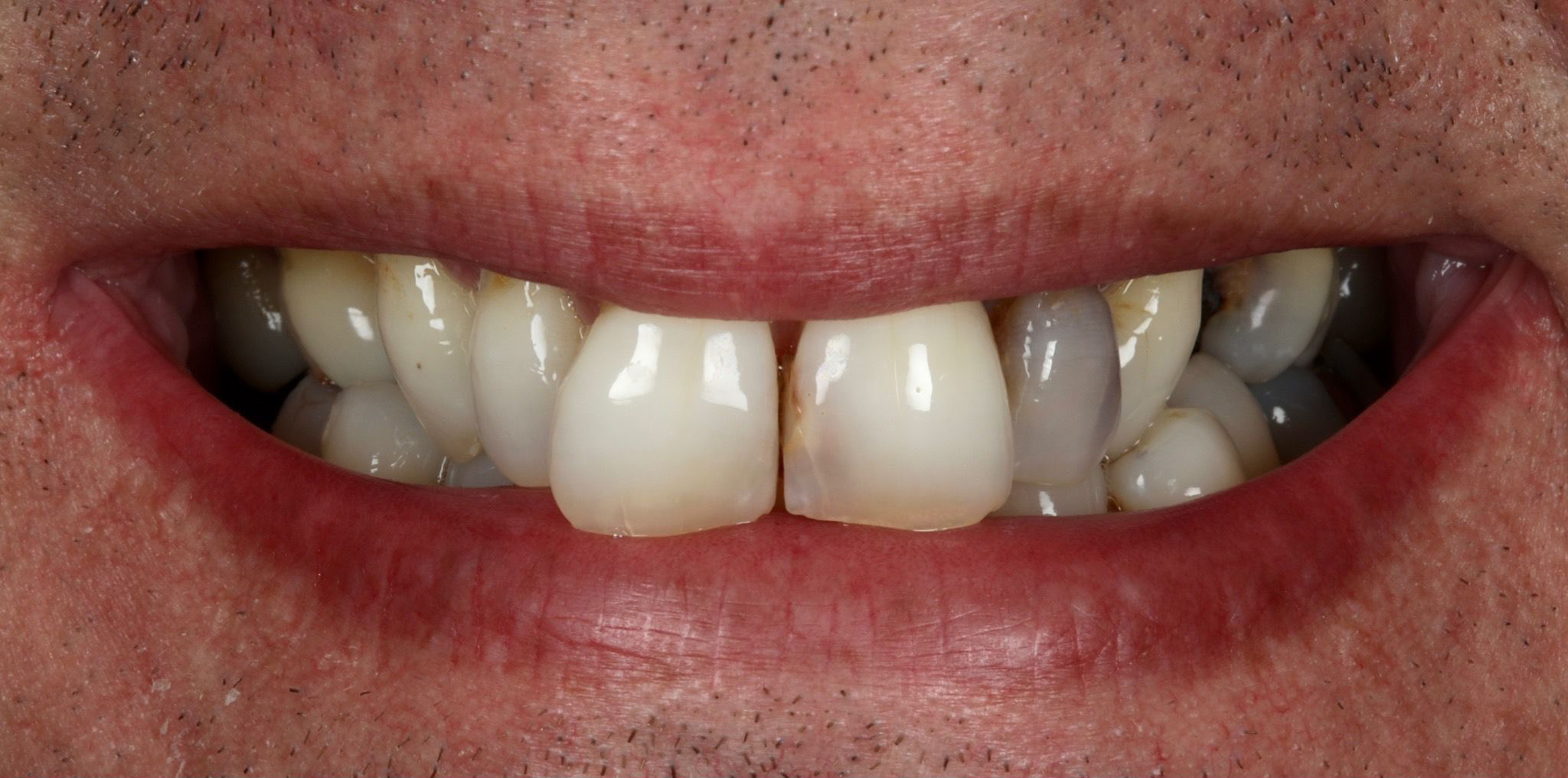
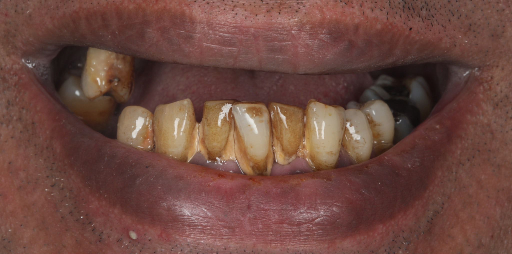
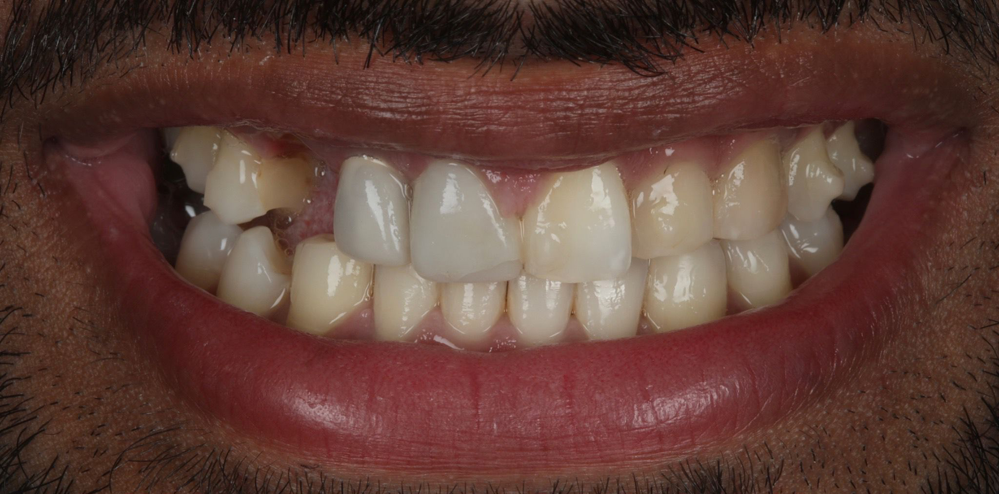
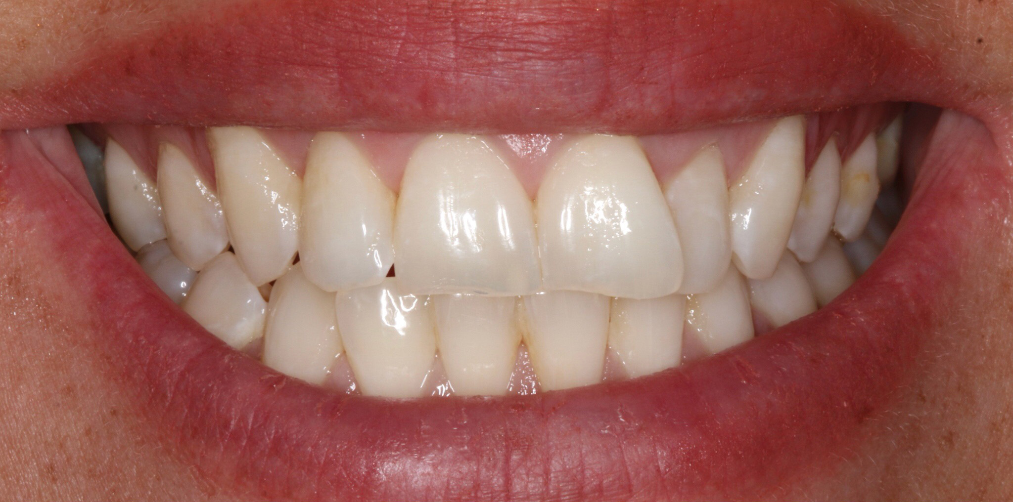
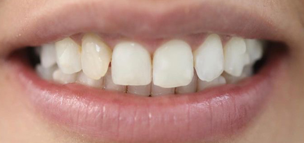
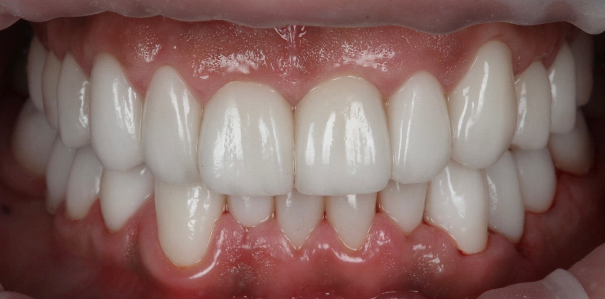
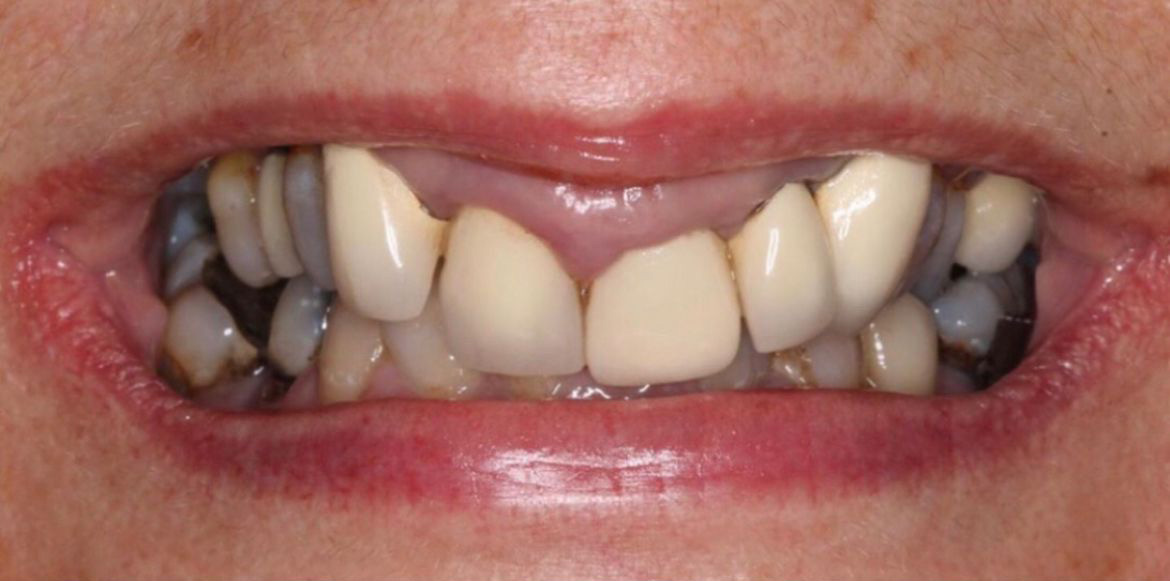
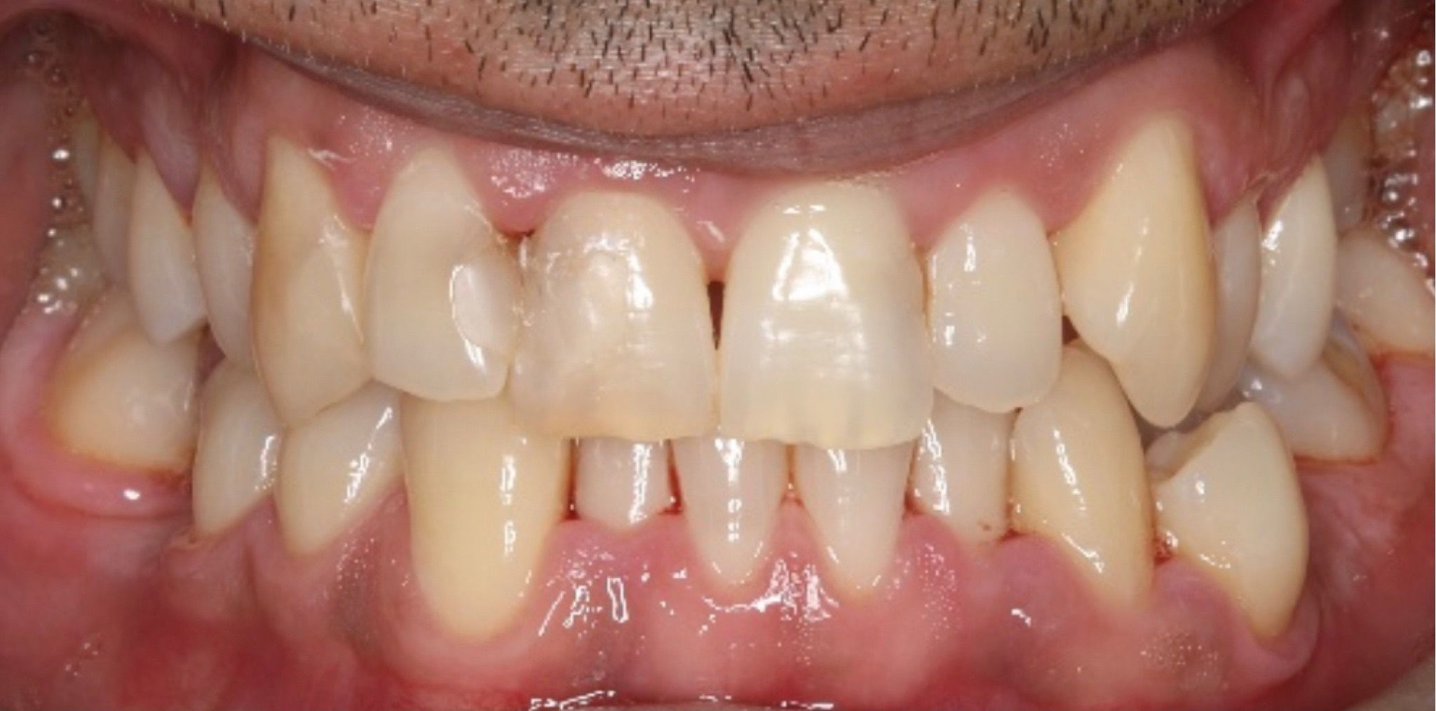
We’re committed to going above and beyond for our patients, creating beautiful, healthy smiles that enhance both confidence and well-being. Our highly skilled team delivers precise, high-quality dental care, ensuring exceptional results that improve your appearance, oral health, and overall quality of life.
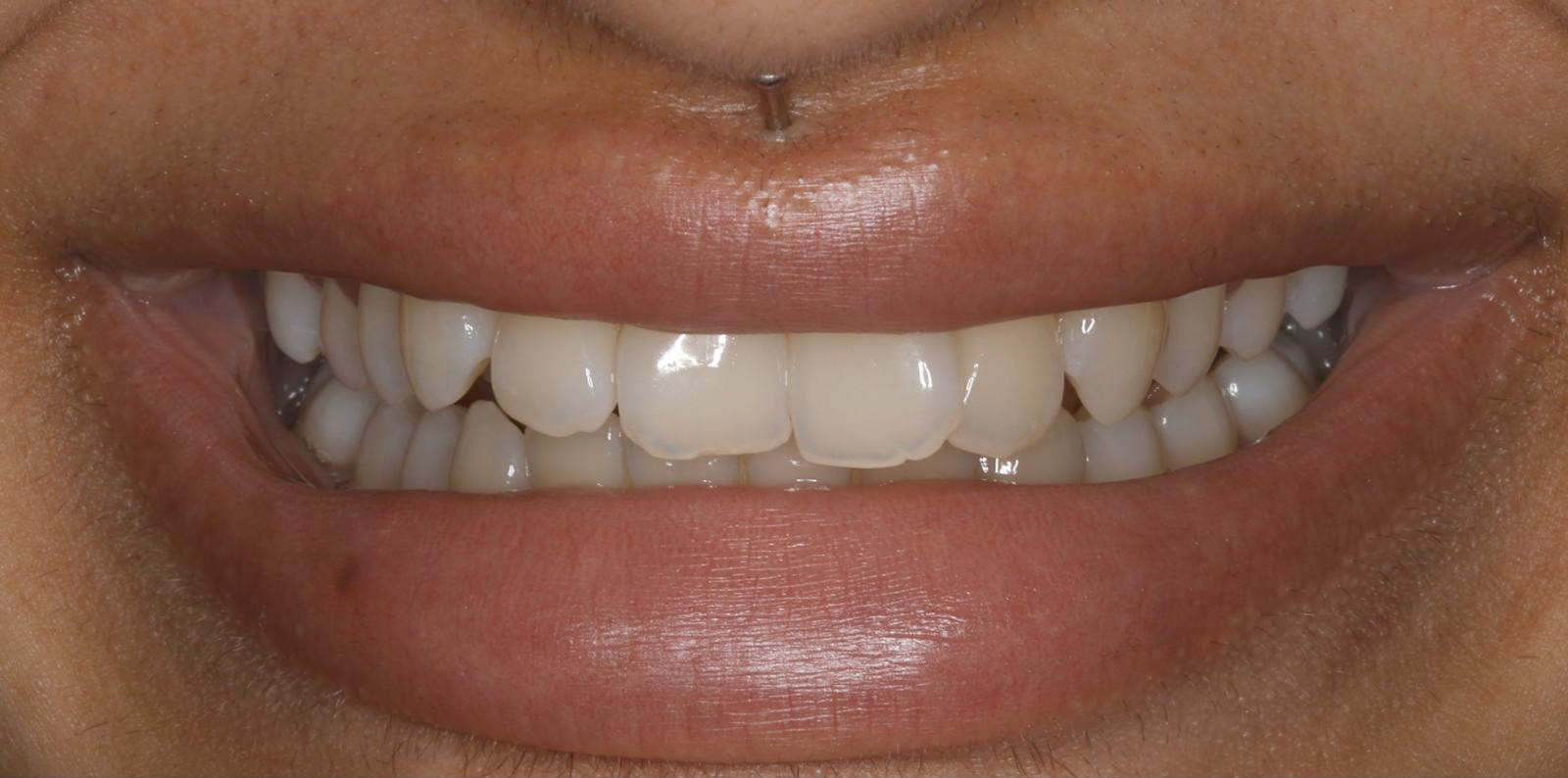
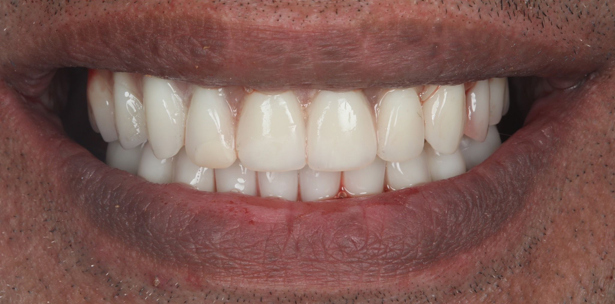
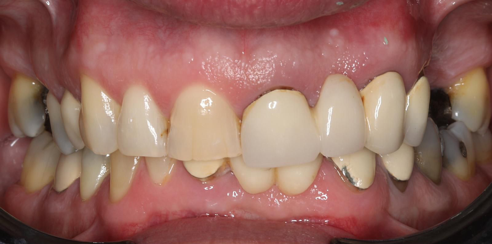
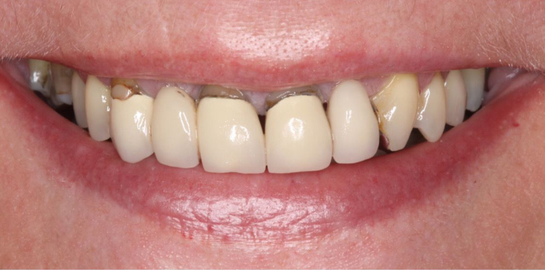
Browse through some of our amazing smile transformations below.