Dental implate consultation

How can dental implants transform my life?

  • Eat all your favourite meals without worry
  • Smile freely, knowing your teeth look and feel natural
  • Speak clearly and confidently
  • Feel good about your teeth with boosted self-esteem
  • Make your dream smile a reality!
Talk to us to learn more

Our real dental implant success stories

Are you tired of hiding your smile? Do you long to feel happy and confident in social situations? We understand – and we’re here to help! We’ve given thousands of patients in Bolton, Greater Manchester, and across the UK a reason to smile again with dental implants. Ready to transform your smile? Call us now to book in!

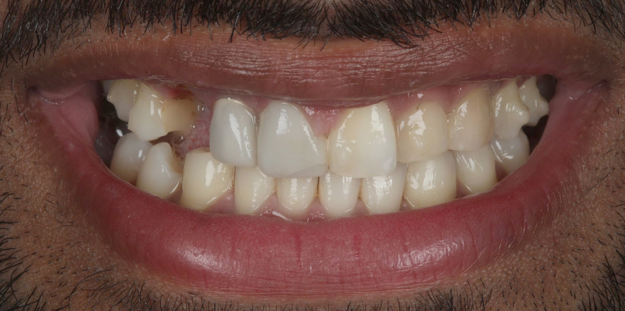
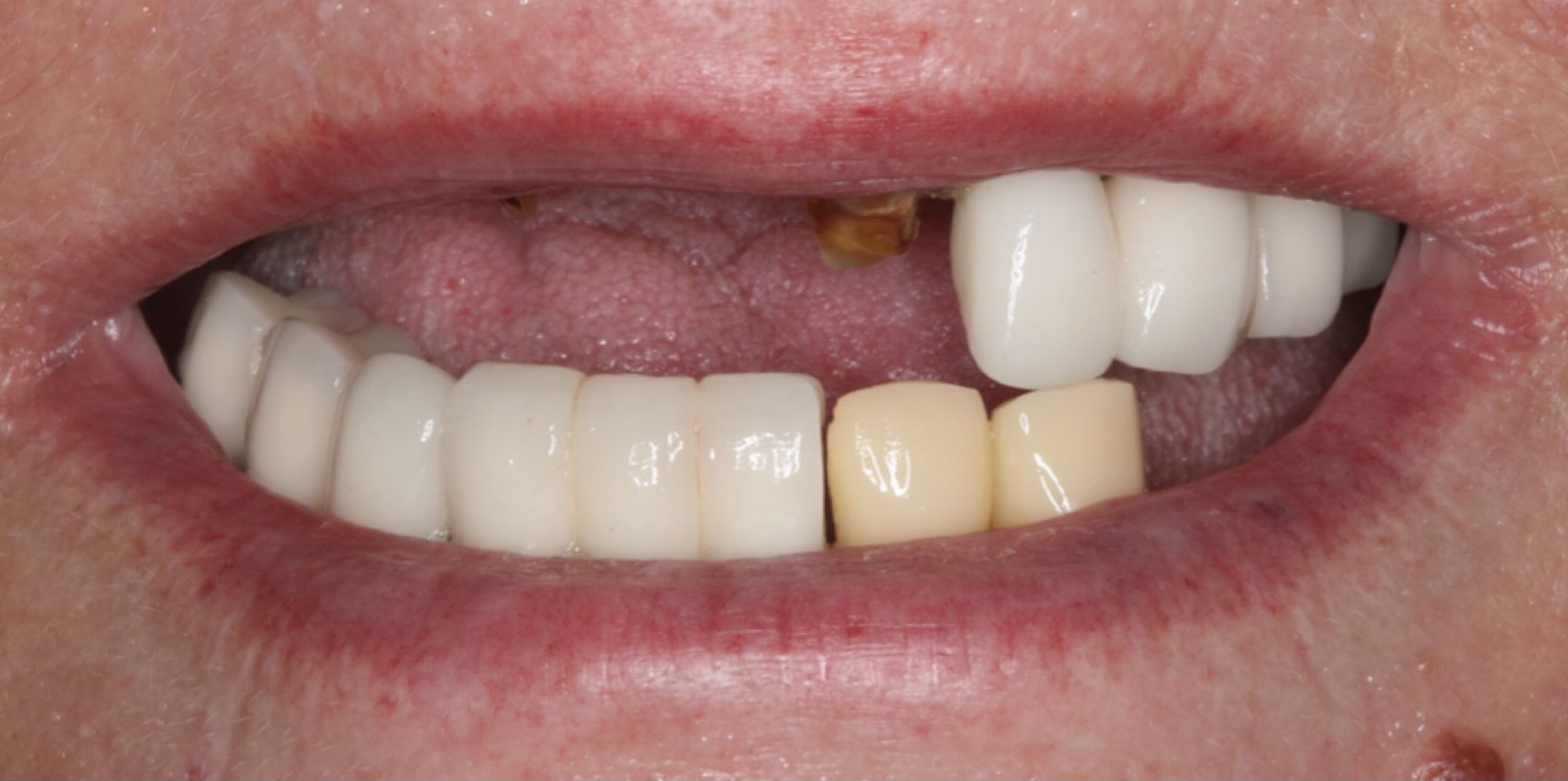
  • Before After
  • Before After
  • Before After
Dental implant surgery

Your dental implants treatment journey

Step 1

Book a consultation with us – we’ll help you discover how dental implants can work for you!

Step 2

Our incredible implant dentist places your implant in a single appointment in our comfortable practice.

Step 3

We complete your brand-new smile with a bespoke dental crown and watch your confidence soar!

Start your journey today
Dental Implants

Why choose Dream Smiles Dental for dental implants?

  • Meet our exceptional team of dentists, who have placed thousands of implants
  • Faster and more comfortable treatment with our cutting-edge technology
  • Cut out the waiting with same-day implants – walk out with new teeth in a day!
  • Spread the cost of your implants with our interest-free finance options
  • Feel relaxed during your visit with our calming and welcoming practice environment
  • Highly aesthetic implants for the best looking and long-lasting results
  • We provide a 5 year guarantee for dental implants and arches**
  • High quality materials with Straumann, the best implant company on the market
Start your journey today

Our dental implant pricing

We believe everyone should have access to premium dental implant solutions and the highest quality treatment. Below is a clear breakdown of our implant pricing.

We also offer flexible finance options to help you spread the cost of your new smile over up to 5 years*, subject to status. Please speak to our team to find out more — we’re always happy to help.

Treatment Total price
Implant with crown £2,750
Immediate temporary restoration for single implant £500
Full arch All-on-4 with immediate load £15,000
Bone grafting from £500
Sinus lift from £750
Socket preservation from £550

Spread the cost of your dental treatment

Apply online in just 2 minutes and receive a decision straight away. Most applications receive an instant decision. Approval is subject to status and affordability checks.

Finance is available for treatments up to £30,000, with options to spread payments over up to 5 years. You can use our finance calculator to see your estimated payments before applying.

Use our finance calculator

Representative example:
Total amount of credit £3,000. 0% interest over 12 months.
12 monthly payments of £250. Representative APR 0%.
Subject to status and terms.



Read our 5* reviews

Don’t just take our word for it – see what our valued patients say about us! Read their stories about the life-changing benefits of dental implants and their experiences at Dream Smiles Dental. Ready for your new smile? Contact us to book your consultation today!

Frequently asked questions

At Dream Smiles Dental, you’re in safe, experienced hands. Our expert dentists have placed thousands of implants, helping patients restore their smiles with permanent, natural-looking teeth.

We offer teeth-in-a-day and same-day implants, meaning you can walk out with a fully restored smile in just one visit. If you’re feeling anxious, our caring, reassuring team and sedation options ensure a stress-free, comfortable experience—you’ll feel at home and well looked after from start to finish.

For expert care, cutting-edge treatment, and a seamless patient journey, Dream Smiles Dental is the right choice for you.

*Subject to affordability, age and status. Minimum spend applies.
**We provide a 5-year guarantee for dental implants and arches, ensuring that they remain functional and free from defects under normal conditions.
Exclusions apply, please talk to us for more information.

Start your journey to a perfect smile

Call us 01204 964678

Dream Smiles Dental, 2 Thomas Holden Street, Bolton, BL1 2QG

  • Monday to Friday: 9:00 - 17:00
  • Saturday: 9:00 - 13:00
  • Sunday: Closed