Orthodontist holding Invisalign clear aligners at Dream Smiles Dental in Bolton

How can Invisalign transform my life?

  • Virtually invisible aligners let you straighten your teeth without anyone noticing.
  • No food restrictions—simply remove your aligners and enjoy what you love.
  • Designed for your teeth, Invisalign aligners feel smooth and comfortable to wear.
  • Easy to clean, reducing the risk of decay and gum disease.
  • Achieve the beautifully straight smile you’ve always wanted!
Talk to us to learn more

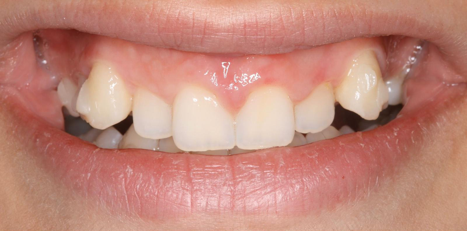
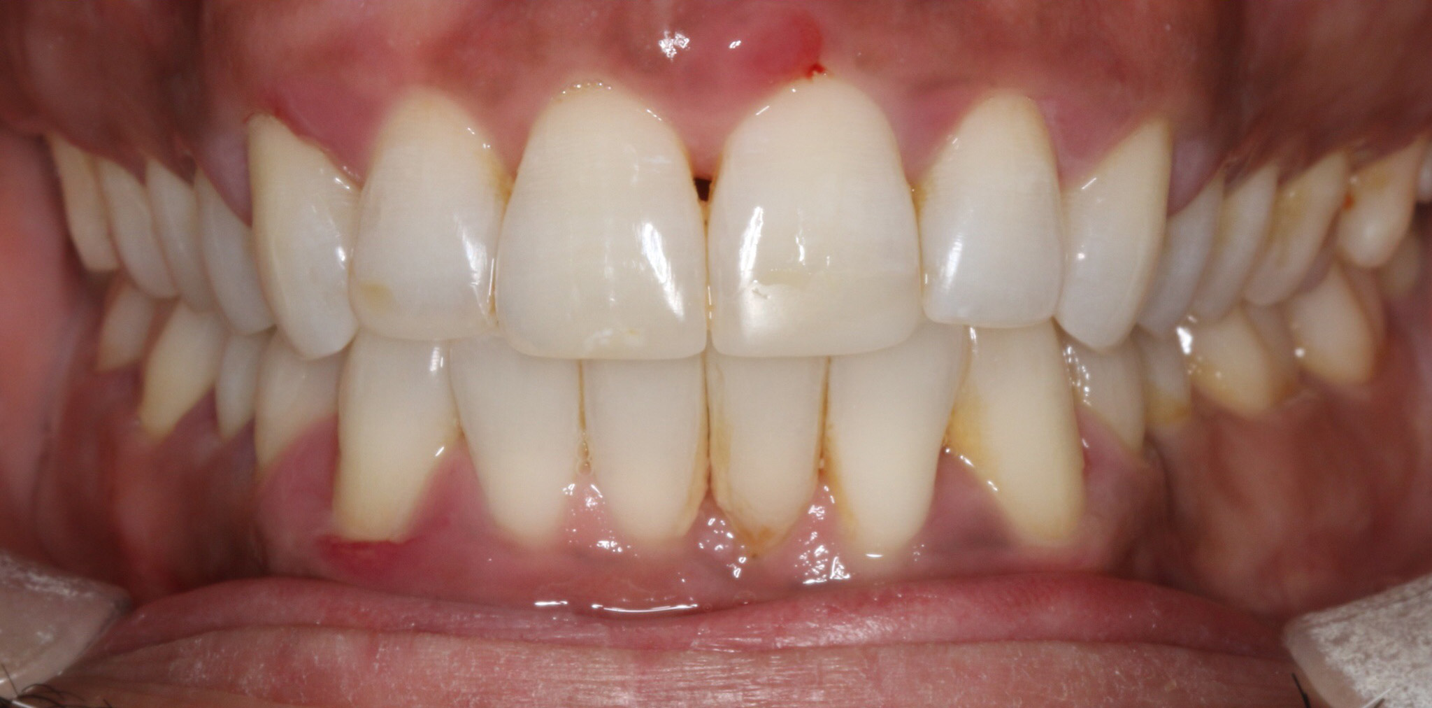
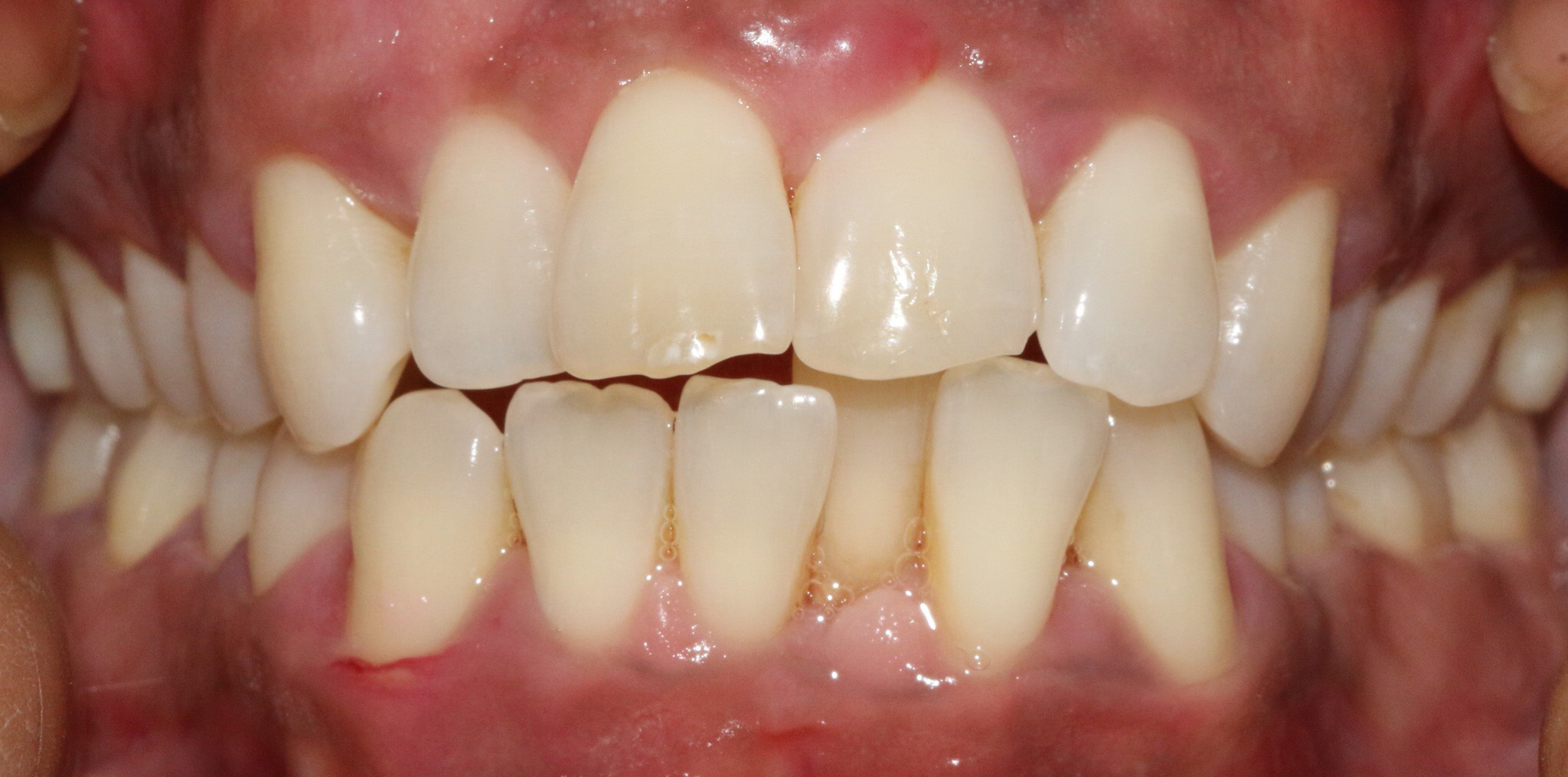
Our incredible real Invisalign results

Do you feel self-conscious about your smile in social situations? You’re not alone, and we’re here to help. As a Platinum Invisalign provider, we’ve helped thousands of patients across the UK achieve beautifully straight smiles – boosting their confidence and transforming the way they feel about their teeth. Could you be next?

  • Before After
  • Before After
  • Before After
Dental clinic dentist Bolton Manchester

Your Invisalign treatment journey

Step 1

Book your consultation—our experienced dentists will scan your teeth and show you a 3D simulation of your future smile with Invisalign!

Step 2

We send your scans to Invisalign’s specialist labs, where your custom-made clear aligners are crafted for a perfect, comfortable fit, ensuring a smooth and effective journey to your new smile.

Step 3

Wear each aligner in the series for 1-2 weeks as your dream straight smile is gradually revealed!

DreamSmile

Why choose Dream Smiles Dental for Invisalign?

  • Unmatched straightening technology – Invisalign is the world’s most trusted clear aligner system, delivering predictable results under the care of our skilled dental team.
  • Platinum Invisalign provider – we’ve successfully treated thousands of patients, achieving consistent, high-quality results.
  • Award-winning dental practice – proudly recognised on a national level, including being named Best Dental Practice in the UK, reflecting our commitment to excellence in care, outcomes and patient experience.
  • See your new smile first – advanced Invisalign technology allows us to show you a 3D preview of your results before treatment begins.
  • Expert, passionate dentists – our highly experienced team is dedicated to delivering outstanding care and beautifully aligned smiles.
  • Flexible payment options – spread the cost with finance options available over up to 5 years, subject to status.
  • Discreet and convenient – removable, comfortable aligners designed to fit seamlessly into your lifestyle.
  • Exceptional patient care – enjoy treatment in a calm, welcoming clinic with expert supervision at every stage.
Book your FREE appointment here

Our Invisalign pricing

We believe that every patient should be able to access premium straightening treatment with Invisalign and the highest standards of care.

We also offer finance options to help you spread the cost of your straight smile*. Talk to us to find out more.

TreatmentPrice
Invisalign i7
Up to 7 aligners and 1 additional refinement
£2,250
Invisalign Lite
Up to 14 aligners and 2 additional refinements
£3,250
Invisalign Intermediate
Up to 20 aligners and 2 additional refinements
£3,750
Invisalign Full
Unlimited aligners and up to 5 additional refinements
£4,250
Fixed retainer (per arch)£200
Removable retainer (per arch)£200
Invisalign Vivera retainers (set of 3)£600

Spread the cost of your dental treatment

Apply online in just 2 minutes and receive a decision straight away. Most applications receive an instant decision. Approval is subject to status and affordability checks.

Finance is available for treatments up to £30,000, with options to spread payments over up to 5 years. You can use our finance calculator to see your estimated monthly payments before applying.

Use our finance calculator

Representative example:
Total amount of credit £3,000. 0% interest over 12 months.
12 monthly payments of £250. Representative APR 0%.
Subject to status and terms.

Read our 5* reviews

Curious about what our patients are saying about Dream Smiles Dental? Take a look at their real reviews, showing how Invisalign has transformed their smiles and quality of life for the better! Ready for Invisalign to change your life? Book your FREE E-consultation today!

Frequently asked questions

At Dream Smiles Dental, we’re dedicated to delivering exceptional care and an outstanding patient experience. As a Platinum Invisalign provider, we have successfully transformed thousands of smiles with comfortable, precise, and predictable results.

Our highly skilled dentists are with you every step of the way, guiding your treatment and making expert adjustments to ensure the best possible outcome. When straightening teeth, expert supervision is key to achieving a smile that’s not only beautifully aligned but also healthy and functional.

All this, in a calm and relaxing environment, ensures your Invisalign journey is smooth, stress-free, and tailored to your dream smile.

*Subject to affordability, age and status. Minimum spend applies.

Start your journey to a perfect smile

Call us 01204 964678

Dream Smiles Dental, 2 Thomas Holden Street, Bolton, BL1 2QG

  • Monday to Friday: 9:00 - 17:00
  • Saturday: 9:00 - 13:00
  • Sunday: Closed