Composite Bonding

How can composite bonding enhance my smile and confidence?

  • Instantly improve the appearance of one or multiple teeth for a more even, natural smile.
  • Boost your confidence knowing your teeth look great in every situation.
  • Enjoy a brighter, more youthful smile by covering imperfections and enhancing your natural teeth.
  • Eat, talk, and laugh freely without feeling self-conscious.
  • A cost-effective way to transform your smile with stunning, natural-looking results.
Talk to us to learn more

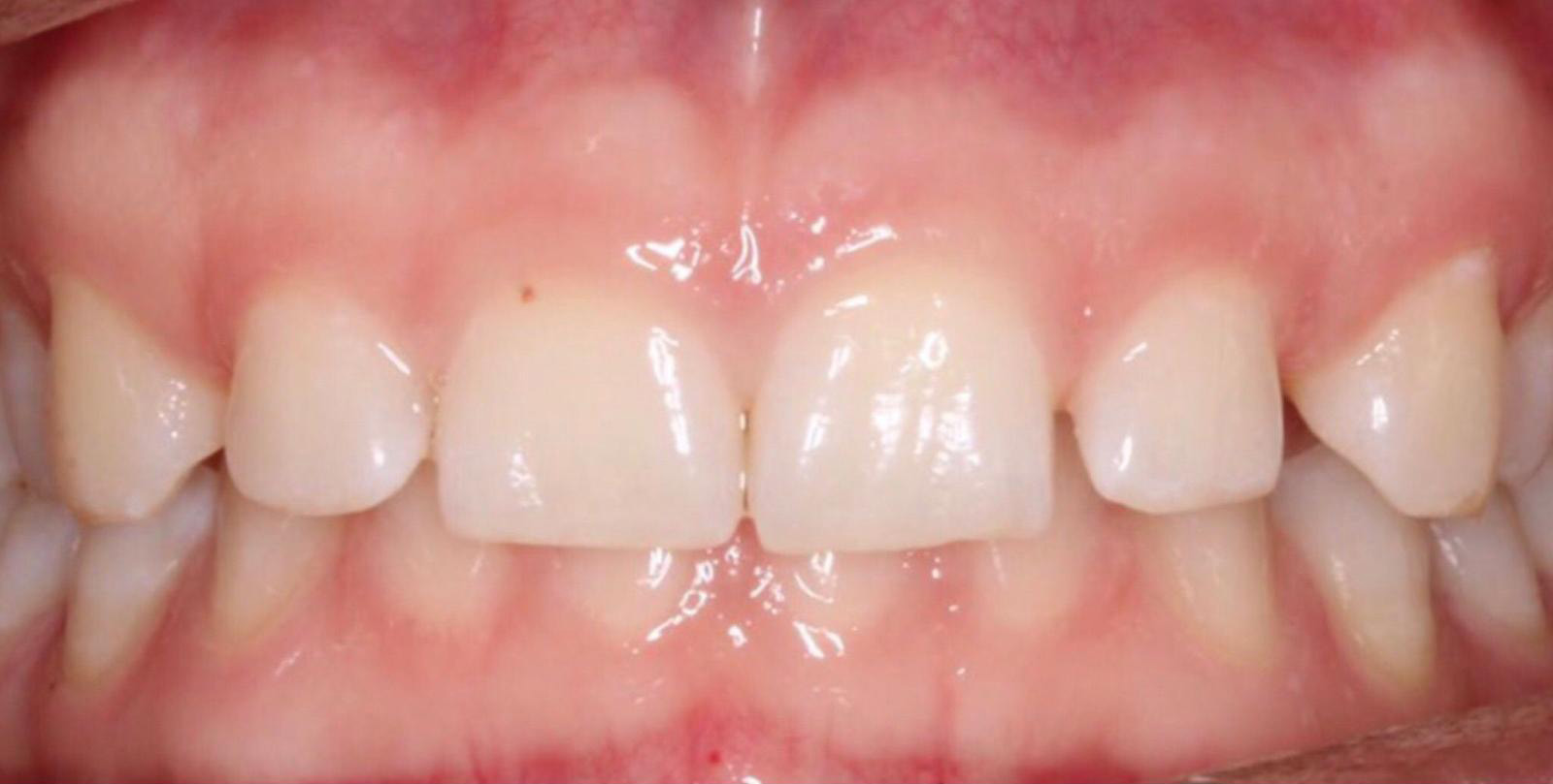
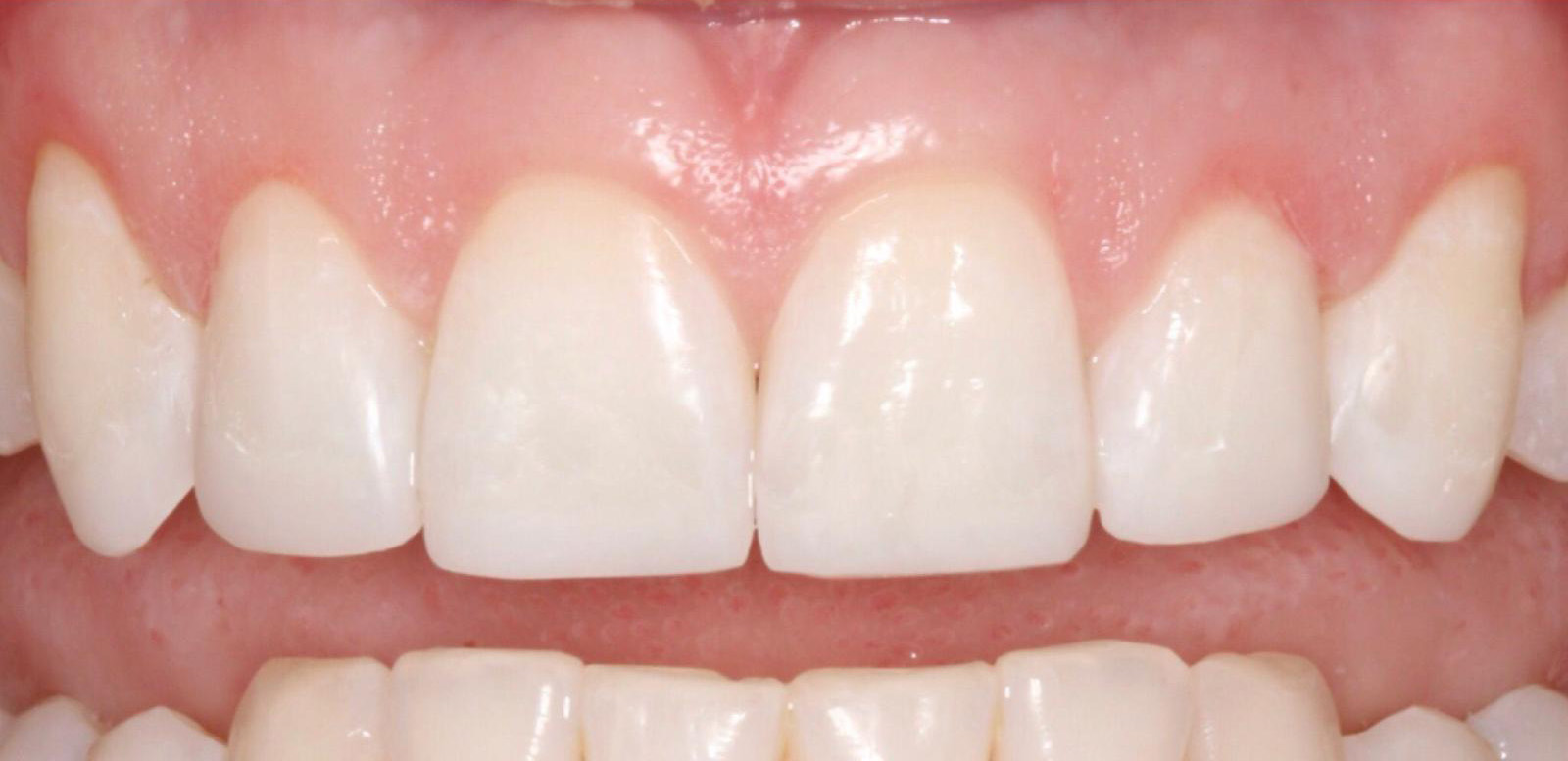
Real composite bonding success stories

Is there something about your smile you’d love to change? Whether it’s fixing chips, reshaping teeth, or whitening your smile to a shade that can’t be achieved with whitening, we’ve helped thousands of patients feel more confident with composite bonding.

  • Before After
  • Before After
  • Before After
Composite Bonding

Your composite bonding treatment journey

Step 1

Tell us what you want to achieve from your teeth bonding treatment during your initial consultation – we work with you to design your smile!

Step 2

We carefully sculpt the composite directly onto your teeth by hand, ensuring a fully customised, high-quality result tailored to your desired smile.

Step 3

After a professional polish, your teeth look healthy and shiny, giving you an instant smile makeover in one appointment!

Composite Bonding

The Dream Smiles Difference

While templates offer consistency, they often lack the personal touch needed for a truly natural-looking smile. At Dream Smiles Dental, our dentists have perfected the art of freehand composite bonding, treating thousands of patients and mastering the subtle details that make a smile look natural.

Recognised as Best Dental Practice in the UK, our approach combines award-winning clinical standards with true artistry. By carefully sculpting each tooth by hand, we tailor the shape, size and colour to complement your face shape, smile width and facial features.

This flexible, artistic approach ensures a beautiful, bespoke smile that’s uniquely yours. Say goodbye to block-looking teeth that don’t suit your face. We don’t offer out-of-the-box treatment. We create smiles that are thoughtfully designed, carefully crafted and completely individual.

Start your journey today

Our composite bonding pricing

We believe everyone should be able to access premium cosmetic dentistry and high-quality composite bonding treatment. Explore our transparent pricing for our most popular smile makeover treatments.

We also offer flexible finance options to help you spread the cost of your new smile*. Speak to our team to find out more.

Composite Edge Bonding

TreatmentTotal price
1 tooth£250
2 teeth£500
4 teeth£1,000
6 teeth£1,500
8 teeth£2,000
10 teeth£2,500
20 teeth£5,000

Composite Veneers

TreatmentTotal price
1 tooth£400
2 teeth£800
4 teeth£1,600
6 teeth£2,400
8 teeth£3,200
10 teeth£3,750
20 teeth£7,000

Spread the cost of your dental treatment

Apply online in just 2 minutes and receive a decision straight away. Most applications receive an instant decision. Approval is subject to status and affordability checks.

Finance is available for treatments up to £30,000, with options to spread payments over up to 5 years. You can use our finance calculator to see your estimated payments before applying.

Use our finance calculator

Representative example:
Total amount of credit £3,000. 0% interest over 12 months.
12 monthly payments of £250. Representative APR 0%.
Subject to status and terms.



Read our 5* reviews

Don’t just take our word for it – read some of our wonderful testimonials and discover why so many patients have trusted us for their dental treatment and care.

Frequently asked questions

At Dream Smiles Dental, we’re as passionate about your smile as you are! We love helping you achieve your smile goals in our calm and luxurious practice surroundings, delivering the highest standards of treatment and care for all. We’re ready to start your composite bonding journey – simply get in touch with us to book your first appointment!

*Subject to affordability, age and status. Minimum spend applies.

Start your journey to a perfect smile

Call us 01204 964678

Dream Smiles Dental, 2 Thomas Holden Street, Bolton, BL1 2QG

  • Monday to Friday: 9:00 - 17:00
  • Saturday: 9:00 - 13:00
  • Sunday: Closed